 
															L’estrazione dei denti del giudizio è un intervento odontoiatrico finalizzato alla rimozione dei terzi molari superiori e/o inferiori, spesso causa di infiammazioni, dolori e disallineamenti. Questi denti, spuntando generalmente tra i 18 e i 25 anni, trovano spesso poco spazio nell’arcata, crescendo in modo irregolare o restando inclusi nell’osso.
L’intervento può essere più o meno complesso, a seconda della posizione del dente. In molti casi, l’estrazione è preventiva, per evitare complicazioni future come infezioni gengivali, carie sui denti adiacenti o spostamenti dentali. La procedura viene eseguita in anestesia locale.
È consigliata a giovani adulti quando i denti del giudizio iniziano a spuntare provocando dolore, gonfiore o difficoltà nella masticazione. È indicata anche per chi presenta denti inclusi o parzialmente erotti, spesso difficili da pulire e quindi soggetti a infezioni e carie. Nei casi di affollamento dentale, l’estrazione è spesso parte integrante di un trattamento ortodontico per creare spazio.
L’estrazione dei denti del giudizio risolve fastidi persistenti e infiammazioni gengivali ricorrenti.
Rimuovere i denti del giudizio evita danni ai denti vicini, preservando la salute generale della bocca.
In ambito ortodontico, l’estrazione previene spostamenti indesiderati e facilita i trattamenti di allineamento.
Eliminare i denti del giudizio rimuove zone difficili da pulire, riducendo il rischio di accumulo di placca e tartaro.
Intervenire tempestivamente evita problematiche più complesse e trattamenti invasivi in seguito.
Grazie a strumenti e protocolli avanzati, l’estrazione avviene in modo preciso e minimamente invasivo, favorendo una guarigione veloce e con minori disagi post-operatori.
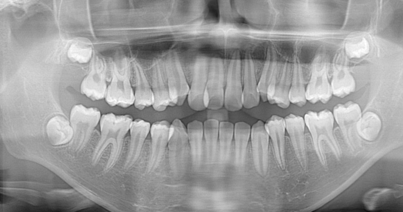
Il momento ideale è tra i 17 e i 25 anni, quando le radici non sono ancora completamente formate e l’osso è più elastico, rendendo l’intervento generalmente più semplice e con un recupero più rapido. Tuttavia, non esiste un’età fissa: la decisione dipende dal posizionamento del dente, dalla presenza di sintomi e da eventuali danni ai denti vicini. Una visita con ortopanoramica consente al dentista di valutare la situazione in modo personalizzato.
L’intervento viene eseguito in anestesia locale, quindi è completamente indolore. Dopo l’estrazione, è normale avvertire un leggero fastidio o gonfiore per qualche giorno, ma questi sintomi sono gestibili con farmaci analgesici e antinfiammatori prescritti dal dentista. Seguire le indicazioni post-operatorie riduce il rischio di complicazioni e favorisce una guarigione rapida e serena.
È importante mantenere la zona pulita, evitare di sciacquare con forza nelle prime 24 ore e seguire una dieta morbida e fredda nei primi giorni (ad esempio yogurt, gelati, vellutate). Vanno evitati fumo, alcol e sforzi fisici intensi. Il dentista fornirà tutte le istruzioni personalizzate, comprese eventuali terapie farmacologiche. Nella maggior parte dei casi, la guarigione è rapida e senza complicazioni.